2024. 6. 18. 16:44ㆍ카테고리 없음

위내시경과 위조영술 차이
뭘 먹어도 소화가 잘 안되고 더부룩하면서 위통도 있거나 하면 위내시경 받아봐야 하나? 하는 불안감이 들기도 합니다. 40대 이상이 되면 2년에 한번 정도는 위내시경 검사 통해서 위장과 십이지장 그리고 식도까지 한번 쭉 훑어보는 게 좋다고는 하는데요, 위조영술 로는 대신할 수 없을까요? 둘의 차이 그리고 정확도 등에 관련된 정리입니다.
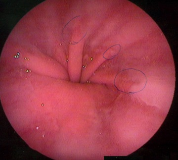
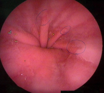
한마디로 딱 구분하자면 위내시경 검사는 카메라를 입으로 넣어 식도를 지나 위와 십이지장 그리고 소장의 시작부분까지는 볼 수 있는 검사방법입니다.
위조영술 검사는 바륨이라는 하얀 액체를 마시고 그 액체가 식도를 타고 내려가면서 위에 쌓였을 때 몸을 이리저리 뒤집어가면서 그 흑백화면을 보면서 읽어내는 검사방법입니다.


심장조영술이나 뇌조영술을 생각한다면 위조영술 검사방법이 좀 더 이해가 빨라질 수 있을 것입니다.
2년마다 한번씩 우리나라에서는 40세 이상의 경우 국가건강검진을 받도록 하고 있습니다. 그 중 위암검사는 위내시경 또는 위조영술 둘 중 하나를 선택할 수 있게 됩니다.
하지만 위조영술 검사로 위암을 알아내기는 아주 힘들다고 합니다. 그리고 만약 위조영술 검사 통해 위에서 어떤 이상이 발견된다면 어차피 다시 위내시경 검사를 받아야 합니다.




따라서 위내시경 검사를 못하는 아주 피치못할 사정이 있는 것이 아니라면 위조영술 보다는 내시경으로 검사하는 것이 두번 고생하지 않고 정확하게 판단해 낼 수 있는 검사방법입니다.
심장병이 있는 사람은 어지간해서는 수면으로 위내시경 검사 할 수 없습니다. 병원에서도 이런 심혈관계 질환이 있는 환자에게는 위내시경 검사는 일반으로 해야한다고 권고하고 있습니다.
하지만 그럼에도 일반 위내시경 검사할 때 식도에서 위로 내려가야 할 카메라를 삼키지 못하는 경우도 있고 공포를 느끼는 사람도 있습니다. 이런 경우는 어쩔 수 없이 위조영술 검사 진행하지만 정확도 면에서는 위내시경 따라갈 수 없습니다.
위암을 알아내는 확률 자체도 위조영술 검사보다 몇배나 더 높은 것이 위내시경 검사 입니다. 따라서 심혈관계 등의 기저질환이 있어 수면내시경 검사를 받을 수 없는데 일반내시경 검사 또한 못받는다면 차선책으로 선택할 수 있습니다.




위조영술 검사
바륨현탁액, 요오드제제를 이용해 위의 이상 유무를 검사합니다. 이 용액은 X선 투과가 잘 안되는 물질로 이 용액을 마시고 X선이 발생되는 기계 위에서 몸을 이리저리 돌려가면서 검사를 받습니다. 기계가 알아서 돌아가는 것이 아니라 사람이 직접 그 기계 위해서 몸을 움직여 줘야 합니다.
X선이 발생하는 기계 위에 있으므로 그 방사선이 몸을 투과하므로 미량의 방사선 피폭이 있다는 것은 인지해야 합니다. 위조영술 검사방법은 위를 풍선처럼 팽창시켜 위벽에 조영제 코팅해 위벽 병변 유무를 검사하는 방법과 위가 팽창하지 않은 상태에서 위를 조영제로 채워 검사하는 두가지 방법이 있으며 일반적으로 두가지 다 시행해야 위벽과 안을 다 검사 할 수 있습니다.
위조영술 검사는 위내시경 검사보다 시간이 오래 걸립니다. 그리고 발포제도 함께 먹기 때문에 다량의 가스가 발생하게 됩니다. 이때 이 발생한 공기를 최대한 삼켜야만 나름 정확한 검사가 가능합니다. 그리고 또 다른 위조영술 검사 단점은 조영제나 발포제로 인한 구토, 콧물, 거북감, 호흡곤란 등이 있을 수도 있습니다.




하지만 이보다 더 신경쓰이는 후유증은 위조영술 검사때 섭취한 바륨현탁액을 깨끗하게 씻어 내기 위해 물2L정도를 마셔야 하는데 이럼에도 깨끗하게 씻어내려지지 않을 수 있고 이로인해 변비가 생길 수도 있습니다.
하지만 위조영술 검사 장점도 분명히 존재합니다. 이는 그래도 위내시경 검사처럼 굵은 카메라를 삼켜야 하는 불편함이 없으며 노인이나 기저질환이 있는 환자도 위 검사를 받을 수 있고 식도에서 위 그리고 십이지장으로 이어지는 위장관의 전체적 모양과 연동운동을 관찰 할 수 있다는 점입니다.
위조영술 검사 8시간 전에는 물을 포함해서 금식과 금연이필수입니다. 방사선검사이기 때문에 임산부는 검사를 받을 수 없고 위절제술을 한 경우도 이 검사는 못 받습니다.





위내시경 검사
현재의 방법 중에서는 가장 정확한 검사방법입니다. 따라서 정확한 병변의 유무와 진단 그리고 내시경 검사를 하면서 바로 용종제거 등이 가능합니다. 그리고 이상하다 싶으면 바로 떼어내서 조직검사를 할 수도 있습니다.
하지만 일반 위내시경 검사를 하는 경우 내시경 즉 카메라를 삼킬 때의 구역질 그리고 몸 안에서 호스가 돌아다니는 느낌으로 인해 불편함과 불안감을 느끼는 경우가 많습니다. 그리고 수면내시경 또한 못받는 경우도 있습니다. 또한 천공이나 출혈이 있을 수 있다는 단점 또한 존재합니다.
위조영술 검사에 비해 위내시경 검사시간은 약 5분 정도로 짧은 편이며 일반내시경인 경우는 검사를 받는 사람도 직접 듣고 보면서 확인할 수 있습니다. 검사 8시간 전부터 금식해야 하고 검사 직전에 목을 국소마취하는 마취제를 마시고 30분정도 입에 물고 있어야 합니다.