2024. 6. 17. 10:29ㆍ카테고리 없음

오스굿씨 병 증상 및 치료법
무릎이 아프다 싶으면 나이가 좀 들었다면 무릎관절에 문제가 있나보다 하겠지만 활동성이 많은 사춘기 무렵등에 무릎통증이 심하게 나타난다면 오스굿씨 병 이라는 것을 의심해 볼 수도 있습니다.
활동량이 많은 10~15세 정도의 남자아이에게서 특히 많이 나타나는데 점프를 하면서 무릎이 구부려졌다 펴지거나 축구 하면서 경골결절부분 즉 정강이뼈 부분 인대에 심하게 당겨지는 등의 반복적 자극으로 발생하는 오스굿씨 병 어떤 증상 나타나는지 그리고 이 병의 치료법 등을 살펴보겠습니다.


초중고 남학생들에게 많은 성장기에 심하게 운동을 하거나 해서 나타날 수 있는 무릎 관련 대표 질환인 오스굿씨 병 관련해 좀 더 알아보겠습니다.
성장기에 갑자기 키가 크면서 뼈도 급성장을 하게 되는데 근육이나 인대 등은 그에 발맞춰 빠른 성장을 하지는 않습니다. 따라서 결과적으로 몸이 유연하지 못한 시기이기도 합니다. 그로인해서 나타나기도 하는데 좀 더 정확한 증상 살펴보겠습니다.




오스굿씨 병 증상
운동을 하게 되는 모든 동작에서 나타날 수 있지만 특히 점프를 하면서 무릎이 펴졌다가 구부러지는 동작, 갑자기 달리거나 공을 차는 등 축구를 할 때 나타나기 쉽습니다.
슬패골밑에 있는 경골조면에서만 통증이 나타나고 강합 압통이 주 증상 입니다. 국소적인 열감과 함께 붓는 느낌이 들면서 뼈가 튀어나온 것을 확인할 수 있습니다.
가끔은 양쪽 무릎 밑에서 다 발생하기도 합니다. 오스굿씨 병 증상 나타나는 것이 주로 무릎을 폈다 구부렸다 하는 동작이기 때문에 점프를 못하기도 하고 달릴 때 통증과 기록이 떨어지기도 합니다. 기본적으로는 운동능력이 전반적으로 저하됩니다.




하지만 급성외상 즉 피가 난다거나 하면서 다친 것이 아니라 주 증상이 자신만이 느낄 수 있는 통증이라므로 운동을 멈춰야 한다는 등의 판단을 내리기 어렵습니다. 특히 발병 시기가 아직은 어린 시기라 환자 본인이 판단하기 어렵습니다.
무릎 앞쪽 약간 아래가 아프고 부으면서 무릎 아래에서 뼈가 돌출되는 것이 보인다면 오스굿씨 병 의심해 볼 수 있습니다.
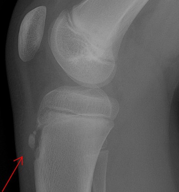
진단
X-ray 검사를 합니다. 성장단계에 따라 크기는 다르지만 경골조면 즉 무릎의 바로 아래에 국한된 골단핵 변화, 유리골편이라는 것이 보여집니다. MRI검사를 하면 연골부를 덮고 있는 슬개건이 두꺼워져 있거나 주변 염증성 변화를 확인할 수 있습니다. 초음파로도 돌출된 뼈와 인대 비후도 볼 수 있습니다.
유발 운동
혹시 아직도 토끼뜀뛰기 등을 시키는 학교가 있나요? 발생률이 상당히 높은 동작입니다. 이 외에도 육상경기, 축구, 배구, 농구, 배드민턴 등의 동작에서 점프, 뛰기, 차기, 스쿼트 등의 동작으로 많이 발생합니다.




치료 및 예후
운동 중 등에 갑자기 통증을 호소하면 냉찜질을 하는 것이 가장 좋습니다. 그리고 소염진통제, 초음파, 저주파 등의 물리요법도 효과적입니다.
대부분은 이러한 치료법 으로 가라앉는 경우가 많지만 심한 경우 즉 통증이 가라앉지 않거나 반복되어 재발한다면 또는 무릎 아래에 뼈가 튀어나온 것이 불편한 경우는 이 뼈를 제거하는 수술을 받을 수도 있습니다.
예방에 가장 중요한 것은 대퇴사두근 스트레칭이며 예방을 위한 서포터도 있습니다.