2024. 4. 30. 15:29ㆍ카테고리 없음

펫시티 검사 방법 검사 시간
한국 사람의 사망 원인은 암(악성 종양)이 제1위다. 다시 말하면 암 때문에 가장 많이 죽는다.
통계적으로 여성보다 남자에게 많이 발생하는데, 우리나라 남자들은 평생 3명 중 1명꼴로 암에 걸린다. 문제는 해가 갈수록 더 증가해 곧 2명 중 1명에서 암에 걸릴 것으로 예상되고 있다고 한다.
대부분 암은 아주 커질 때까지 불편하거나 증상이 없다. 환자 입장에서는 건강에 문제가 없이 잘 지내다가 갑자기 날벼락같이 암을 진단받고, 또 많은 경우는 이미 진행된 상태에서 발견돼 속수무책인 채로 얼마 지나지 않아 돌아가시는 일이 생긴다.






평소에 몇 가지 검진을 병원에서 했어도 암은 우리 몸 어느 곳에서나 숨어 있을 수 있어 검진 때 이를 놓치면 암이 커져 증상이 나타난 이후에 병원을 찾는 경우도 더러 있다고 한다. 영화나 TV 드라마에서나 보던 일이 실제 나에게, 내 가족에 나타나는 것이라고 한다.
그러면 우리 몸 어디에 암이 숨어 있는지 한 번에 알아보고, 또 초기에 찾아내 빨리 치료받게 하는 새로운 방법은 없을까? 우리 의사들이 흔히 듣는 질문이라고 한다.
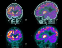
최첨단 현대의학으로 가장 적절한 방법이 양전자단층촬영술(Positron Emission Tomography, PET)이라고 나는 생각한다. PET는 체내 대사 변화를 촬영하는 기기로 CT나 MRI 다음에 개발된 영상장비이라고 한다.
요즘은 여기에 CT를 붙여서 PET 영상과 CT 영상을 융합해 서로 약점을 보완해 검사의 질을 더욱 높이고 있다고 한다.






PET가 암을 찾아내는 원리를 이렇다. 우선 포도당은 쌀밥 속에 풍부한 탄수화물로, 세포가
자라는 데 꼭 필요한 영양소이라고 한다.
여기에 방사성 핵종 F-18를 붙여(F-18 FDG라고 함) 혈관 주사하면 빨리 자리는 암세포는 포도당이 더 필요해 정상 세포보다 10∼100배 더 많이 모여들고 이를 방사능으로 촬영해 찾아낸다. 암이 1㎝만 돼도 10조개의 암세포가 있어 CT, MRI 소견이 애매한 경우 유용하게 쓰인다.
물론 PET도 아주 작은 암은 놓치기도 하지만 대체로 약 0.5㎝ 이상의 암은 거의 80% 찾아내고 있다고 한다.
PET의 또 다른 장점으로 거의 모든 종류의 암을 찾아낼 수 있다는 것이라고 한다. 일반적으로 암세포는 포도당 대사가 높기 때문이라고 한다.
또 머리끝에서 발끝까지 촬영해 어느 곳에 있는 암이라도 잡아낸다. 다시 말하면 사각지대가 없다고나 할까? 이미 일본에서는 이 방법으로 암을 검진하는 프로젝트를 성황리에 진행하고 있다고 한다.






다만 비싼 검사이므로 일반 대중에게 널리 알려지는 것이 여러 면에서 바람직하지 않다고 생각해 모르고 있는 것이라고 한다. 사실 아직도 의학적·학문적으로 비용-효과를 검증해 보아야 할 것이라고 한다.
그러나 일본의 경우 증상이 없는 PET 검진자의 1∼2%에서 암을 찾아내고 있다고 한다. 또 이미 암을 진단받은 후에도 전신 PET를 해 보면 5∼7%에서 숨어 있는 다른 암을 찾을 수 있다고 한다.
물론 고령의 할아버지와 할머니가 많지만 우리나라 남자의 3분의1에서 2분의1이 일생동안 결국은 암에 걸린다는 통계자료를 볼 때 수긍이 된다. 일본 자료에 의하면 갑상선암, 폐암, 대장암 등이 잘 발견되고 있다고 한다.
근래 들어 각 병원에서 될 수 있으면 높지 않은 가격에 PET 검진을 하기 위해 방사성 핵종의 주사량을 반으로 줄이고, 영상에는 차이가 없는 특별 프로토콜로 PET촬영을 하니 일석이조의 효과이라고 한다. 이 조치로 FDG 값도 절약하지만 방사선 조사량도 줄이게 됐다.






또 부수적으로 뇌 부분의 PET 영상으로 분석해 뇌졸중, 알츠하이머 치매도 조기 진단할 수 있다고 한다. 검사도 간단해서 정맥 주사를 맞고 1시간대기 후에 20분 정도 누운 상태로 촬영한다.
한 끼 금식만 하면 되고 다른 불편한 처치가 전혀 필요 없다.
마지막으로 말씀드릴 점은 모든 초기 암을 PET 검진으로 해결할 수는 없다. 가령 위벽에 붙어 있는 0.5 cm 이하의 암이 포도당 대사마저 느리다면 알 수가 없기 때문이라고 한다.
PET 검사 후 반드시 경험 있는 의사 선생님과 상의하고 필요하면 내시경검사 등을 보완해야 한다. 어떤 최첨단 장비로도 암을 100% 찾을 수는 없다, 사실 그 일은 하느님의 영역이기 때문이라고 한다.